Considering veneers for a brighter, more confident smile? Here are the seven key signs that you may be an ideal candidate for porcelain veneers—based on professional standards used at Worldwide Dental Hospital in Ho Chi Minh City, Vietnam.
Introduction: Why Veneers Are One of the Most Effective Cosmetic Dental Treatments
Porcelain veneers have become one of the most popular cosmetic dentistry solutions for people who want a natural, symmetrical, and long-lasting smile transformation. They can correct discoloration, reshape teeth, close gaps, and create a more harmonious overall appearance. Veneers not only enhance aesthetics but can also restore confidence, strengthen weakened tooth enamel, and improve the long-term health of your smile when designed and placed correctly.
However, veneers are not the right option for everyone. Your teeth, gum health, bite alignment, and aesthetic expectations all determine whether you are a good candidate. At Worldwide Dental Hospital, dentists use digital smile design, high-resolution scanning, and a thorough aesthetic evaluation to determine whether veneers are suitable for each patient.
Below are the seven most common signs that porcelain veneers may be the right choice for you.

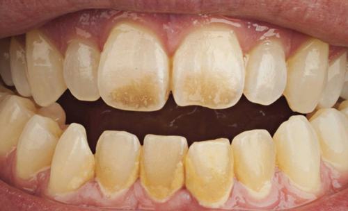
1. You Have Deep or Persistent Tooth Discoloration
When Whitening Is Not Enough
Tooth discoloration can come from multiple causes—coffee, wine, smoking, aging, genetics, or medication such as tetracycline. Some stains respond well to professional whitening treatments, but others are too deep or intrinsic. Whitening can only lighten surface pigments, not internal discoloration caused by enamel defects or long-term staining inside the tooth structure.
Porcelain veneers, however, completely mask underlying color because they are custom-shaded and layered to create a bright, natural look. This makes them ideal for people who:
- Have brown, grey, or dark banding on their teeth
- Have enamel defects such as fluorosis
- Want a long-term color change rather than temporary whitening results
- Prefer a consistent shade that does not fade over time
If you’ve tried whitening but your teeth still look uneven, veneers offer a predictable and lasting solution.
2. Your Teeth Are Worn Down, Short, or Chipped
Veneers Restore Shape and Strength
Natural teeth can wear down due to grinding (bruxism), acidic foods, aging, or mechanical damage. Worn teeth often appear shorter, flatter, or chipped at the edges, affecting both appearance and bite function.
Porcelain veneers can rebuild length, contour, and symmetry, creating a more youthful and proportionate smile. Veneers are strong and resistant to further chipping, especially when combined with a night guard for patients with grinding habits.
Patients with the following conditions typically benefit greatly:
- Uneven or short front teeth
- Edges that look thin or translucent
- Chipped or fractured enamel
- Teeth that have lost shape due to grinding
This makes veneers not only a cosmetic improvement but also a functional restoration.

3. You Have Small Gaps or Mild Misalignment
When Veneers Are a Faster Alternative to Orthodontics
Many patients have minor spacing or alignment issues that do not require full orthodontic treatment. Veneers can close small gaps, create the appearance of straighter teeth, and correct mild rotation—often in just a few appointments.
If you want to improve alignment without months of braces or clear aligners, veneers provide a fast and effective cosmetic improvement for:
- Small spaces between teeth
- Slightly crooked or rotated teeth
- Asymmetrical tooth shapes
- Teeth that tilt inward or outward
However, for significant crowding or bite issues, orthodontics may still be necessary before veneers. At Worldwide Dental Hospital, your dentist will evaluate your bite and alignment to determine whether veneers alone can achieve the desired result.
4. Your Teeth Are Misshapen or Not Proportional
Creating a More Balanced, Beautiful Smile
Some adults naturally have teeth that are differently shaped—pointed, rounded, square, or uneven in size. Veneers can redesign your smile to achieve better balance and harmony with your facial proportions.
Porcelain veneers allow dentists to modify:
- Tooth length
- Tooth width
- Contours and angles
- Symmetry between left and right sides
With digital smile design, patients can preview their new smile before treatment begins. This ensures the shape and proportions suit the lips, facial features, and personal style of the patient.
5. Your Enamel Is Weak or Eroded
A Protective External Layer for Sensitive or Thin Teeth
Weak enamel can be caused by acidic diets, medical conditions, grinding, or brushing too aggressively. When enamel erodes, teeth become sensitive, look dull, and can stain more easily.
Veneers act as a strong, protective layer on the front surface of the teeth. They help:
- Reduce sensitivity to hot and cold
- Prevent further enamel loss
- Strengthen biting and chewing surfaces
- Improve overall tooth function
For patients with mild to moderate enamel erosion, veneers offer both cosmetic and functional benefits. However, if enamel loss is severe or the tooth is structurally compromised, a crown may be recommended instead.
6. You Want a Long-Lasting Cosmetic Solution
Veneers Offer Durability and Stability
Unlike whitening or composite bonding, porcelain veneers do not stain easily and maintain their appearance for many years. They are resistant to discoloration from coffee, tea, or tobacco and retain their shape and brightness long-term.
Most porcelain veneers last 10–15 years, and many last even longer with proper dental care. Patients who want a stable, durable, and low-maintenance solution typically choose veneers over other cosmetic options.
You may be a strong candidate if you want:
- Long-term stability
- A smile that stays bright without frequent touch-ups
- A durable restoration that maintains its shape
Worldwide Dental Hospital uses high-quality porcelain and advanced fabrication techniques to ensure maximum longevity.

7. You Have Healthy Gums and Good Oral Hygiene Habits
Healthy Foundations Are Necessary for Veneers
Even though veneers only cover the front of the teeth, they require healthy gums and a stable dental foundation. Gum disease, active decay, or severe bite issues should be treated before veneer placement.
You are a suitable candidate if:
- Your gums do not bleed during brushing
- You have no active decay
- Your bite is stable and not causing excessive stress on the front teeth
- You maintain good oral hygiene habits daily
Healthy gums ensure that veneers bond securely and look natural along the gumline. A stable foundation also helps extend the life of your veneers.
Why Choose Worldwide Dental Hospital for Veneers in Vietnam?
Worldwide Dental Hospital is one of the most trusted centers for cosmetic dentistry in Vietnam, especially for international patients. The hospital combines digital technology, experienced cosmetic dentists, and an in-house dental laboratory to deliver predictable and high-quality results.
What Makes the Hospital Stand Out
- Digital Smile Design for precise planning and aesthetic previews
- In-house CAD/CAM porcelain lab for faster turnaround and superior craftsmanship
- English-speaking cosmetic dentists with extensive experience
- High-quality porcelain materials are used in leading international clinics
- Customized veneer designs to match facial proportions and patient preferences
- Comprehensive care from consultation to final bonding
Many foreign patients choose Worldwide Dental Hospital for its transparent pricing, international-level technology, and natural-looking aesthetic outcomes.

Conclusion
If you have stained, worn, misaligned, misshapen, or cosmetically imperfect teeth—and you want a natural, long-lasting improvement—veneers may be the right solution for you. The seven signs above are strong indicators that porcelain veneers can help you achieve the smile you’ve always wanted.
With advanced technology and skilled cosmetic dentists, Worldwide Dental Hospital provides personalized veneer treatments designed to enhance both function and aesthetics.
📞 Contact Worldwide Dental Hospital: (+84) 922.253.888
Start your veneer consultation today.

