Bad breath affects confidence and oral health. Explore causes, treatments, and myths, plus expert guidance from Worldwide Dental Hospital for long-lasting, fresh breath.

INTRODUCTION
Bad breath—also known as halitosis—is a common condition that impacts millions of people. While it may seem like a minor inconvenience, persistent bad breath can affect communication, self-esteem, social interactions, and even indicate underlying health issues. The good news is that most cases are treatable once the root cause is identified.
Worldwide Dental Hospital provides comprehensive diagnostics and treatment plans to help patients eliminate bad breath effectively. This article explains the real causes, effective treatments, and common myths surrounding halitosis.
CAUSES OF BAD BREATH
Poor Oral Hygiene
When food particles remain between the teeth, bacteria break them down, producing volatile sulfur compounds (VSCs) responsible for foul odor. Without routine brushing and flossing, plaque builds up, creating an environment where bacteria thrive.
Tongue Coating
The tongue traps food debris, dead cells, and bacteria on its rough surface. This biofilm is one of the most overlooked but significant sources of chronic bad breath. Cleaning the tongue daily dramatically reduces odor.
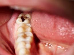
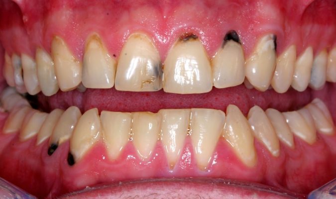
Gum Disease
Gum infections such as gingivitis and periodontitis cause chronic inflammation and deep gum pockets. These pockets harbor bacteria that produce toxins and strong, unpleasant smells. Many patients with long-term bad breath unknowingly have periodontal disease.
Dry Mouth (Xerostomia)
Saliva helps cleanse the mouth and neutralize acids. When saliva decreases, bacteria multiply faster. Dry mouth can be caused by dehydration, aging, stress, medications, smoking, alcohol, or sleeping with the mouth open.
Dietary Habits
Certain foods like garlic, onions, strong spices, and fermented dishes release compounds that linger in the bloodstream and exit through the lungs. Low-carb or high-protein diets may also cause “ketone breath,” a fruity or acetone-like odor.
Medical and Systemic Conditions
Not all bad breath originates from the mouth. Conditions such as sinus infections, tonsil stones, gastroesophageal reflux (GERD), diabetes, kidney disease, or liver issues can create distinctive odors. Worldwide Dental Hospital evaluates both dental and medical factors when investigating halitosis.

EFFECTIVE TREATMENTS FOR BAD BREATH
Improve Daily Oral Hygiene
Brushing twice a day and flossing once daily removes plaque and food debris. Using fluoride toothpaste helps reduce bacterial growth. Consistent hygiene prevents new odor-causing buildup.
Clean the Tongue
A tongue scraper or soft toothbrush removes the biofilm that collects bacteria. Cleaning the tongue is one of the fastest ways to reduce bad breath.
Treat Gum Disease
If gum disease is present, professional treatments such as scaling and root planing remove bacteria below the gum line. Treating periodontal infections often resolves long-term halitosis that brushing alone cannot fix.
Manage Dry Mouth
Staying hydrated increases saliva production. Sugar-free gum or lozenges help stimulate saliva, while alcohol-free mouthwash prevents additional dryness. Patients with chronic dry mouth may require saliva substitutes.
Make Dietary Adjustments
Limiting strong-smelling foods and avoiding excessive caffeine or alcohol can help reduce odor. A balanced diet supports healthy saliva flow and reduces the risk of ketone breath.
Address Underlying Medical Causes
If sinus problems, reflux, tonsil stones, or metabolic conditions contribute to bad breath, treating the medical issue is essential. Worldwide Dental Hospital often collaborates with medical specialists when needed.

COMMON MYTHS ABOUT BAD BREATH
“Mouthwash Can Cure Bad Breath”
Mouthwash may provide short-term freshness, but it does not treat the underlying causes such as gum disease, dry mouth, or tongue bacteria. Alcohol-based formulas may even worsen the issue.
“Bad Breath Always Comes From the Stomach”
While digestive problems can cause odor, most cases—over 80%—originate from the mouth. Misdiagnosing the cause can delay proper treatment.
“Good Brushing Is Enough”
Brushing addresses tooth surfaces, but tongue bacteria, gum disease, and dry mouth require targeted treatment.
“Chewing Gum Solves Bad Breath”
Gum only masks odor temporarily by increasing saliva. It does not remove plaque or treat infection.
WHEN BAD BREATH INDICATES A SERIOUS ISSUE
Gum Disease or Dental Infection
Chronic halitosis is strongly linked to periodontal disease. Odor occurs when bacteria accumulate deep beneath the gums, producing toxic sulfur compounds. Abscesses or infected teeth may also cause persistent bad smells.
Tonsil Stones
Tonsil stones form when debris becomes trapped in the tonsils and calcifies. These stones release a strong, sulfur-like odor that persists even after brushing.
Respiratory or Systemic Conditions
Sinusitis, bronchitis, diabetes, kidney failure, liver disease, and gastrointestinal problems can change breath odor. Patients who do not respond to dental treatment may need further medical evaluation.

AI OVERVIEW MINI-ANSWERS
What causes bad breath?
Common causes include tongue bacteria, gum disease, dry mouth, food debris, strong-smelling foods, and underlying medical conditions.
How do you fix bad breath quickly?
Brush, floss, clean your tongue, stay hydrated, and avoid alcohol-based mouthwash. Treat gum disease if present.
When is bad breath a concern?
Persistent bad breath may indicate gum disease, sinus issues, tonsil stones, reflux, diabetes, or systemic illness.
Does mouthwash cure bad breath?
Mouthwash only masks odor temporarily and does not treat the root cause.
Can the stomach cause bad breath?
Yes, but it is less common. GERD, ulcers, or digestive infections may contribute.

CONCLUSION
Bad breath is more than just a cosmetic concern; it can signal deeper oral health or medical issues. Most cases can be effectively treated with proper oral hygiene, professional dental care, tongue cleaning, hydration, and addressing underlying conditions. Understanding the true cause is essential for long-term results.
Worldwide Dental Hospital provides thorough evaluations, periodontal treatments, tongue cleaning guidance, and personalized care plans to help patients eliminate bad breath safely and effectively. With the right approach, fresh breath and renewed confidence are within reach.

