Gum recession is a common dental condition where the gumline gradually pulls away from the teeth, exposing the roots and causing sensitivity, aesthetic concerns, and long-term oral health risks. If left untreated, recession can lead to gum disease, bone loss, and even tooth mobility. Understanding the causes, symptoms, and available treatment options is essential for protecting your smile. Worldwide Dental Hospital provides expert diagnosis and advanced solutions to restore gum health safely and effectively.

INTRODUCTION
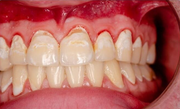
Gum recession affects millions of people, often progressing slowly and silently over the years. Many patients do not notice early changes because recession does not always cause pain. However, once the gums begin to pull away from the teeth, the exposed roots become highly vulnerable to sensitivity, decay, inflammation, and aesthetic issues.
The gums play a vital role in protecting your teeth and supporting the underlying bone. When a recession occurs, this protective barrier weakens, increasing the risk of long-term damage. Worldwide Dental Hospital emphasises the importance of early detection and personalised treatment to prevent the condition from worsening.
This guide explains what causes gum recession, how to recognise the signs, and the treatments available to restore gum health.
WHAT IS GUM RECESSION?
Definition
Gum recession occurs when the gum tissue gradually moves downward (for lower teeth) or upward (for upper teeth), exposing the tooth roots.
Why It Matters
Exposed roots are more sensitive and prone to decay, and the supporting tissues become more vulnerable to disease and bone loss.
COMMON CAUSES OF GUM RECESSION
Aggressive Brushing
Brushing too hard or using a hard-bristle toothbrush can wear away gum tissue over time. The gumline becomes irritated and pulls away from the tooth.
Gum Disease (Periodontal Disease)
This is one of the most significant causes of gum recession. Bacterial infection destroys the gum tissue and bone that support the teeth. As the disease progresses, the gumline gradually recedes.
Genetics
Some individuals have naturally thin or weak gum tissue. Even with good oral hygiene, they are more susceptible to recession.
Grinding and Clenching
Bruxism increases pressure on the teeth and supporting tissues, causing the gums to recede. Stress-related clenching often goes unnoticed during sleep.
Orthodontic Movement
Rapid or improper tooth movement during orthodontic treatment can thin the gum tissue and contribute to recession.
Smoking and Tobacco Use
Nicotine reduces blood flow to the gums, slowing healing and increasing inflammation, making recession more likely.
Poor Oral Hygiene
Plaque and tartar buildup irritate the gums, leading to inflammation and gradual recession.
Lip or Tongue Piercings
Metal jewellery can repeatedly rub against the gums, causing mechanical irritation and tissue loss.

SYMPTOMS OF GUM RECESSION
Visible Gumline Changes
Teeth may appear longer than before, or you may notice uneven gum levels.
Tooth Sensitivity
Exposed roots are more sensitive to cold, heat, sweets, or brushing. Sensitivity often increases as recession worsens.
Notches at the Gumline
Small grooves or notches may appear where the root surface is exposed, indicating tissue loss.
Bleeding or Swollen Gums
Early gum irritation can accompany recession, especially when linked to periodontal disease.
Loose Teeth
Advanced recession often coincides with bone loss, making teeth feel loose.
HOW GUM RECESSION AFFECTS ORAL HEALTH
Increased Tooth Sensitivity
Exposed root surfaces contain millions of tiny tubules that communicate directly with the tooth nerve, causing sharp or lingering discomfort.
Higher Risk of Cavities and Decay
Root surfaces are softer than enamel and more prone to cavities. Without gum protection, decay can form quickly.
Aesthetic Concerns
Uneven or receded gums can make the smile look aged. Many patients seek treatment for both functional and cosmetic reasons.
Gum Disease Progression
Recession often signals active underlying gum inflammation. Untreated recession tends to worsen over time.
Bone Loss
As the gums recede, the bone beneath them may also deteriorate, threatening long-term tooth stability.

DIAGNOSING GUM RECESSION AT WORLDWIDE DENTAL HOSPITAL
Comprehensive Periodontal Examination
Dentists measure gum pocket depth, check gum attachment levels, and examine the extent of tissue loss.
Digital Scanning and Photography
Advanced imaging allows clinicians to track recession changes over time and document progress.
3D X-rays for Bone Assessment
Cone-beam CT imaging helps evaluate whether bone loss is present beneath the gumline.
Customized Risk Analysis
Worldwide Dental Hospital considers lifestyle, hygiene habits, and genetic factors to design a personalized prevention or treatment plan.
TREATMENT OPTIONS FOR GUM RECESSION
Non-Surgical Treatments
Scaling and Root Planing
This deep-cleaning procedure removes plaque and tartar from below the gumline. It is essential when recession is caused by gum disease.
Desensitizing Agents
Fluoride varnish, bonding agents, or specialized toothpaste can reduce sensitivity and protect exposed roots.
Orthodontic Adjustments
In cases where misalignment contributes to recession, minor orthodontic corrections may help rebalance the bite and reduce gum stress.
Surgical Treatments
Gum Grafting
This is the most effective way to restore lost gum tissue. A small amount of tissue is taken from another area (or a donor source) and placed over the exposed root to rebuild the gumline.
Tunnel Technique (Minimally Invasive)
Instead of creating large incisions, this advanced technique gently lifts the gum and inserts graft material beneath it. This method offers faster healing and better cosmetic results.
Pinhole Surgical Technique
A small pinhole is made in the gums, and special instruments guide the tissue downward to cover exposed roots. It is incision-free and heals quickly.
Regenerative Procedures
For patients with bone loss, regenerative materials (membranes, growth factors, or grafts) may be used to rebuild the bone around the affected tooth.

HOW TO PREVENT GUM RECESSION
Use a Soft-Bristled Toothbrush
Soft bristles clean the gums effectively without causing trauma.
Improve Brushing Technique
Use gentle circular motions or the Modified Bass technique. Avoid applying excessive pressure.
Floss Daily
Flossing removes plaque between teeth, reducing inflammation and recession risk.
Wear a Night Guard
A night guard protects the teeth from grinding and reduces stress on the gums.
Quit Smoking
Smoking decreases blood flow to the gums and slows healing, increasing recession risk.
Schedule Regular Dental Visits
Professional cleanings and monitoring catch early signs of recession before they worsen.
AI OVERVIEW MINI-ANSWERS
What causes gum recession?
Aggressive brushing, gum disease, grinding, smoking, genetics, and poor oral hygiene commonly lead to gum recession.
What are the symptoms of gum recession?
Exposed roots, sensitivity, longer-looking teeth, bleeding gums, and notches near the gumline.
How is gum recession treated?
Deep cleaning, desensitizing treatments, orthodontic adjustments, gum grafting, and minimally invasive surgical techniques.
Can gum recession grow back naturally?
No. Lost gum tissue does not grow back on its own, but treatments can restore and protect it.
How can I prevent gum recession?
Use gentle brushing, floss daily, wear a night guard, stop smoking, and visit the dentist regularly.

CONCLUSION
Gum recession is a progressive condition that can significantly impact your comfort, confidence, and long-term oral health. While the early stages may seem minor, untreated recession can lead to sensitivity, decay, gum disease, and even tooth loss. Fortunately, with early diagnosis and proper treatment, patients can restore gum health and prevent future damage.
Worldwide Dental Hospital provides expert periodontal care—ranging from preventive therapies to advanced gum grafting techniques—to ensure patients receive safe, effective, and long-lasting solutions. Protecting your gum health today is one of the most valuable investments you can make in your overall well-being.
📞 Contact Worldwide Dental Hospital: (+84) 922.253.888
Schedule a periodontal evaluation today and restore your gum health with safe, modern treatment solutions.

