Bleeding gums, bad breath, or gum recession could be early signs of gum disease. Learn all the symptoms, stages, and treatments — and how Worldwide Dental Hospital in Vietnam helps restore healthy gums with advanced care.
![]()
UNDERSTANDING GUM DISEASE
Gum disease, medically known as periodontal disease, is a bacterial infection that affects the tissues supporting your teeth — including the gums, periodontal ligament, and jawbone.
It usually starts as gingivitis, a mild inflammation of the gums, and can progress to periodontitis if left untreated.
Without proper care, gum disease can cause bone loss, loose teeth, and even tooth loss.
At Worldwide Dental Hospital, dentists use advanced laser therapy, ultrasonic scaling, and digital diagnostics to detect gum disease early and prevent irreversible damage.
WHY YOU SHOULDN’T IGNORE EARLY SIGNS
Gum disease often develops silently. Many people don’t notice symptoms until the condition becomes advanced.
However, the earlier it’s treated, the easier it is to reverse and manage.
Ignoring warning signs like bleeding gums or bad breath allows bacteria to spread deeper — damaging the bone and tissue that hold your teeth in place.
MAIN CAUSES OF GUM DISEASE
Gum disease is primarily caused by plaque buildup, a sticky film of bacteria that forms on your teeth every day.
If plaque isn’t removed through proper brushing and flossing, it hardens into tartar (calculus), which can only be removed professionally.
Other Risk Factors Include:
- Smoking or vaping
- Poor oral hygiene
- Hormonal changes (pregnancy, menopause)
- Diabetes or other systemic diseases
- Certain medications
- Genetics or family history
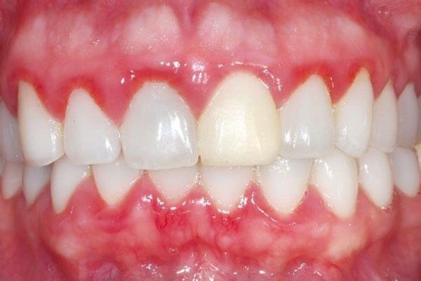
EARLY SYMPTOMS OF GUM DISEASE
Recognizing early symptoms is crucial in preventing long-term complications.
1. Bleeding Gums
Bleeding when brushing or flossing is often the first warning sign of gum inflammation (gingivitis).
Healthy gums should never bleed easily.
2. Red or Swollen Gums
Gums may appear redder and puffier than usual due to bacterial irritation.
This inflammation indicates your immune system is responding to infection.
3. Persistent Bad Breath (Halitosis)
Bacteria trapped under the gums produce sulfur compounds, leading to chronic bad breath that persists even after brushing.
4. Tender or Painful Gums
Infected gums may feel sore, sensitive, or painful when chewing or brushing.
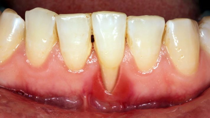
5. Gum Recession
Gums pulling away from the teeth expose the roots, making teeth look longer and more sensitive to temperature.

ADVANCED SYMPTOMS OF GUM DISEASE
If untreated, gum disease progresses from gingivitis to periodontitis, where the infection begins damaging the bone and supporting tissues.
1. Deep Gum Pockets
Spaces form between your teeth and gums, trapping bacteria and food particles.
Dentists measure this pocket depth during periodontal exams — anything deeper than 3mm suggests disease.
2. Loose or Shifting Teeth
As the bone deteriorates, teeth lose support and start to move out of position.
3. Pus Around the Gums
Pus indicates an active infection beneath the gumline — a clear sign of advanced periodontitis.
4. Changes in Bite Alignment
Your bite may feel different as teeth shift, or dentures may no longer fit properly.
5. Tooth Loss
Without treatment, bone and tissue destruction eventually cause teeth to fall out or require extraction.
STAGES OF GUM DISEASE
| Stage | Description | Symptoms |
| 1. Gingivitis | Inflammation is limited to the gums. | Red, swollen gums that bleed when brushing. |
| 2. Early Periodontitis | Infection spreads below the gumline. | Mild bone loss, gum recession. |
| 3. Moderate Periodontitis | Deeper infection and tissue loss. | Loose teeth, gum pockets, and persistent bad breath. |
| 4. Advanced Periodontitis | Severe bone destruction. | Tooth mobility, pus, pain, and possible tooth loss. |

HOW GUM DISEASE IS DIAGNOSED
At Worldwide Dental Hospital, dentists use digital imaging and periodontal probing to evaluate the condition accurately.
Step 1: Visual Examination
Checks for redness, swelling, or bleeding during brushing.
Step 2: Pocket Depth Measurement
A periodontal probe measures the space between tooth and gum tissue.
Step 3: Digital X-rays or 3D CBCT Scan
Used to assess bone loss and detect infection beneath the surface.
Step 4: Bacterial Testing (if needed)
In complex cases, tests identify specific bacteria causing the infection for targeted treatment.
TREATMENT OPTIONS FOR GUM DISEASE
1. Professional Scaling and Root Planing
Removes plaque and tartar from above and below the gumline.
This deep cleaning helps gums reattach to the tooth surface.
2. Laser Therapy
Fotona laser treatment targets and eliminates bacteria while stimulating gum healing — a painless, modern approach used at Worldwide Dental Hospital.
3. Antibiotic Therapy
Topical or oral antibiotics may be prescribed to control bacterial infection.
4. Surgical Procedures (For Advanced Cases)
In severe cases, procedures such as flap surgery, bone grafting, or gum grafting may be needed to restore lost tissue.
5. Maintenance and Regular Checkups
After treatment, professional cleaning every 3–6 months is essential to maintain results.
COST OF GUM DISEASE TREATMENT IN VIETNAM
Dental treatment in Vietnam provides high-quality care at affordable prices, making it an ideal destination for expats and dental tourists.
| Treatment Type | Average Cost (USD) | Description |
| Scaling & Polishing | 25 – 50 | Routine cleaning to prevent gum disease. |
| Deep Cleaning (Root Planing) | 60 – 120 | For mild to moderate gum infection. |
| Laser Therapy | 100 – 200 | Painless and highly effective gum treatment. |
| Gum Surgery | 300 – 800 | For severe periodontitis and bone loss. |
At Worldwide Dental Hospital, gum treatment starts from 40 USD, depending on your condition and treatment plan.

HOW TO PREVENT GUM DISEASE
Good daily habits are the foundation of healthy gums.
Do’s
- Brush twice daily with fluoride toothpaste.
- Floss once a day to remove plaque between teeth.
- Rinse with antibacterial mouthwash.
- Eat a balanced diet rich in vitamins C and D.
- Visit your dentist every 6 months for a professional cleaning.
Don’ts
- Don’t smoke or vape.
- Don’t ignore bleeding or swollen gums.
- Avoid sugary and acidic foods that promote plaque buildup.
At Worldwide Dental Hospital, preventive care programs include personalized checkups, education, and professional cleaning to help you maintain lifelong gum health.
FAQ – GUM DISEASE
Can gum disease be reversed?
Yes — gingivitis (the early stage) can be reversed with proper cleaning and care. Once it becomes periodontitis, it can only be managed, not fully reversed.
Is gum disease painful?
Not always. Many people have gum disease without feeling pain, which is why regular checkups are crucial.
Can gum disease cause tooth loss?
Yes. Advanced gum disease destroys the bone that supports teeth, leading to mobility or loss.
How often should I have my gums checked?
Every 6 months, or every 3–4 months if you’ve had previous gum problems.
Does gum disease affect overall health?
Yes. Studies show links between gum disease and heart disease, diabetes, and other systemic conditions.
WHY CHOOSE WORLDWIDE DENTAL HOSPITAL
- 30+ years of experience in periodontal and restorative dentistry.
- English-speaking dentists with international certifications.
- Advanced laser and ultrasonic cleaning systems for gentle care.
- European-standard sterilization and hygiene.
- Transparent pricing and personalized follow-up care.

At Worldwide Dental Hospital, routine periodontal checkups and digital imaging help detect these symptoms early — before they lead to irreversible damage.
CONCLUSION
Gum disease may start quietly, but its effects can be serious if ignored.
Recognizing early symptoms like bleeding gums, bad breath, or gum recession helps protect your teeth and overall health.
At Worldwide Dental Hospital, our team of periodontal specialists combines advanced technology and gentle care to restore healthy gums — safely, effectively, and pain-free.
Don’t wait until it hurts — early prevention and treatment make all the difference for a lifetime of healthy smiles.
📞 Contact Worldwide Dental Hospital: (+84) 922.253.888

