Dental implants require a structured healing process for long-term success. Learn the full implant healing timeline, what happens at each stage, what affects recovery, and why Worldwide Dental Hospital is a trusted choice for safe and predictable dental implant treatment in Vietnam.

Understanding the Healing Process After a Dental Implant
Why Healing Matters
A dental implant is not just a mechanical screw placed into the jaw. It is a biological process that requires the bone to fuse with the implant surface—a process known as osseointegration. Proper healing ensures the implant becomes strong enough to support biting forces and function like a natural tooth.
Normal vs. Delayed Healing
Every patient heals at a different pace. While most recover smoothly, factors such as bone density, oral hygiene, smoking, and overall health can influence healing time. Understanding the full timeline helps patients know what to expect and how to care for their implants properly.
Overview of the Dental Implant Healing Timeline
General Timeline
Although healing varies, most patients follow this general path:
- First 24–48 hours: Initial recovery
- First week: Reduced swelling and soft tissue healing
- 2–4 weeks: Gum healing around the implant site
- 2–6 months: Osseointegration (bone fusing to the implant)
- After 3–6 months: Abutment and crown placement
At Worldwide Dental Hospital, each stage is carefully monitored to ensure a predictable and comfortable healing experience.

Stage 1: First 24–48 Hours After Implant Surgery
What Happens
The body initiates the natural healing response. Blood clot formation protects the surgical site, and soft tissues begin to close around the implant.
What You May Feel
- Mild swelling
- Slight bleeding
- Bruising (sometimes)
- Minor discomfort
These are normal and manageable with pain relievers prescribed by the dentist.
Care Instructions
- Apply ice packs to reduce swelling
- Eat soft foods (yogurt, soup, mashed potatoes)
- Avoid hot foods or drinks
- Do not smoke, as smoking severely delays healing
- Avoid disturbing the surgical area
Worldwide Dental Hospital provides detailed English instructions to help expats recover safely.
Stage 2: First Week of Healing
What Happens
Soft tissues begin to heal, swelling reduces, and the initial inflammation settles. Stitches may dissolve or be removed, depending on the case.
What You May Experience
- Pink gums around the area
- Slight tightness or pressure
- Tenderness when chewing
These symptoms should gradually improve.
Important Guidelines
- Continue soft diet
- Brush gently around the site
- Rinse with saline or chlorhexidine (if prescribed)
- Avoid strenuous activities
Proper cleaning prevents infection and ensures faster healing.
Stage 3: Weeks 2–4 – Early Tissue Healing
What Happens
The gums continue to heal and tighten around the implant. Internal bone remodeling begins.
What You May Experience
Most patients feel no pain or discomfort at this stage. The surgical site appears healthier, and normal eating becomes easier.
Recommended Care
- Maintain excellent oral hygiene
- Avoid chewing directly on the implant site
- Continue avoiding smoking
Healthy soft tissue is crucial for long-term implant stability.

Stage 4: Months 2–6 – Osseointegration Phase
What Happens
Bone cells grow and attach to the implant surface, anchoring it firmly into the jaw. This biologic fusion is essential for implant strength and durability.
Why This Stage Matters
Osseointegration is the most important part of implant success. If the implant does not integrate properly, it may become loose or fail.
What You May Experience
- No pain
- Implant feels stable
- Normal function returns gradually
Many patients forget they even have an implant during this period.
Lifestyle Recommendations
- Maintain good oral hygiene
- Avoid biting hard foods with the implant
- Continue regular checkups
Worldwide Dental Hospital provides follow-up appointments to track progress and ensure the implant is integrating properly.
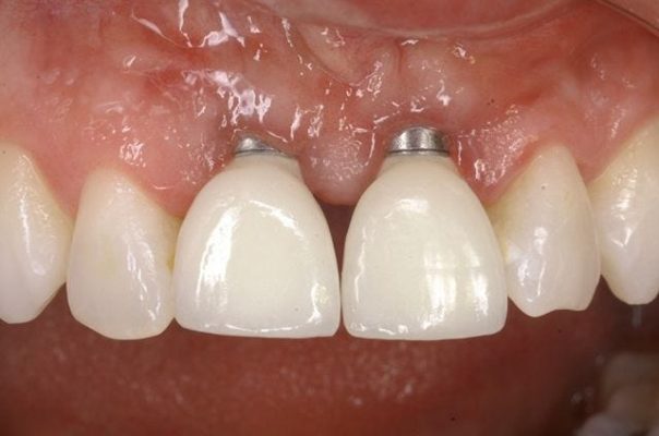
Stage 5: Abutment Placement (After Osseointegration)
What Happens
Once the implant fully integrates, a small connector called an abutment is placed. This is the part that supports the final crown.
Recovery Expectations
Healing around the abutment usually takes 1–2 weeks. Gum tissue shapes itself around the abutment to create a natural-looking emergence profile.
Care Instructions
- Keep the area clean
- Brush gently
- Follow dietary recommendations if tenderness occurs
At Worldwide Dental Hospital, custom abutments using CAD/CAM technology ensure a perfect fit.
Stage 6: Final Crown Placement (3–6 Months After Surgery)
What Happens
A digital scan captures the implant position, and a custom crown is fabricated in porcelain or zirconia.
Crown Options
- Zirconia crown: strong, aesthetic, long-lasting
- Full ceramic crown: natural and suitable for front teeth
- Porcelain fused to metal: durable and cost-effective
Final Result
The crown is attached to the abutment, completing the restoration. The patient can chew, smile, and speak comfortably as if using a natural tooth.

Factors That Influence Implant Healing Time
Bone Quality and Density
A dense jawbone heals faster. Areas with lower bone density—like the upper jaw—may take longer.
Smoking
Nicotine reduces blood flow and oxygen, slowing healing and increasing implant failure risks.
Overall Health
Conditions such as diabetes, autoimmune disorders, or osteoporosis can affect healing. Patients must be properly evaluated before surgery.
Oral Hygiene
A clean mouth heals faster. Poor hygiene can lead to infection and delayed osseointegration.
Number of Implants
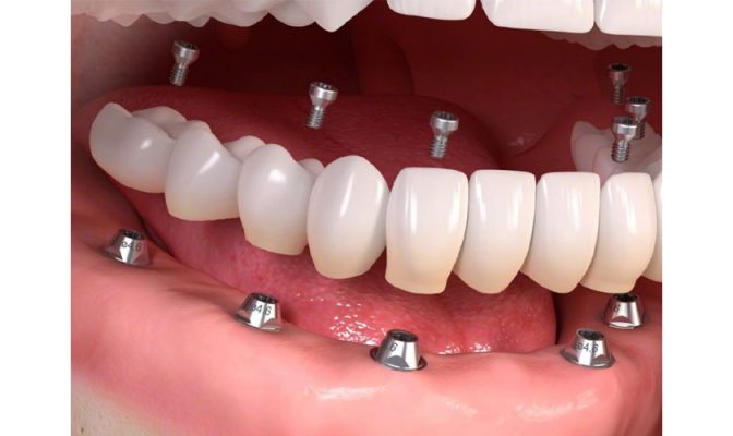
Single implants heal faster than multiple implants or full-arch cases like All-on-4 or All-on-6.
Additional Procedures
Bone grafting or sinus lift may extend healing time by several months.
How to Support Faster Implant Healing
Maintain Excellent Oral Hygiene
Brush gently but thoroughly twice daily. Rinse with salt water or prescribed mouthwash.
Avoid Smoking
This single factor plays a major role in implant failure. Avoid smoking for at least 2 weeks before and 8 weeks after surgery.
Choose Soft, Nutritious Foods
Foods rich in protein, vitamins, and minerals help tissue repair.
Avoid Hard Foods
Hard foods can place unnecessary pressure on the healing implant.
Manage Health Conditions
Keep diabetes under control, maintain a healthy lifestyle, and take doctor-prescribed medications consistently.
Attend All Follow-Up Visits
Professional monitoring ensures early detection of any issues.
Signs of Healthy Implant Healing
- No pain or only minimal discomfort
- Gums appear pink and stable
- No mobility or looseness
- No swelling or pus
- No persistent bleeding
- Comfortable chewing
If all these signs are present, the implant is progressing well.
Warning Signs That Require a Dentist’s Attention
- Severe pain after the first few days
- Swelling that worsens instead of improving
- Implant feels loose
- Persistent bad taste or pus
- Gum recession around the implant
- Fever or signs of infection
Worldwide Dental Hospital provides quick support for any patient experiencing complications.
Why Many Foreigners Choose Vietnam for Implant Treatment
Affordable Implant Costs
Vietnam offers the same internationally recognized implant brands at much lower prices than Western countries.
Highly Skilled Implant Surgeons
Dentists in Vietnam, especially at top centers like Worldwide Dental Hospital, have extensive experience placing implants for both locals and international patients.
Advanced Technology
CBCT imaging, digital scans, and ultrasonic bone surgery enhance safety and outcomes.
Convenient Treatment for Expats
Flexible appointments, transparent pricing, and English-speaking staff make the process comfortable for foreigners.
Hospital-Level Sterilization
Worldwide Dental Hospital maintains strict European-standard hygiene protocols, ensuring safe surgical procedures.
Why Worldwide Dental Hospital Is a Trusted Implant Center for Foreigners
Expert Implant Surgeons
Worldwide Dental Hospital has highly experienced surgeons with thousands of successful implant placements, including complex cases requiring bone grafting or sinus lift.
Digital Treatment Planning
Advanced tools like CBCT 3D imaging and iTero digital scanning ensure precise implant positioning and long-lasting results.
Modern Facility with In-House Prosthetic Lab
Crowns are digitally designed and fabricated in-house, reducing waiting time and improving accuracy.
English-Speaking Care
Foreign patients receive clear explanations at every step, from consultation to aftercare.
International Sterilization Standards
Hospital-level protocols ensure patient safety and infection control.
Transparent and Fair Pricing
Treatment plans are explained clearly, with no hidden fees.

Conclusion
The healing process after a dental implant follows a predictable timeline, but individual recovery varies. Most patients complete healing and receive their final crown within 3–6 months. With advanced technology, expert implant surgeons, and excellent patient care, Worldwide Dental Hospital is a trusted choice for international patients seeking safe and successful dental implants in Vietnam.
📞 Contact Worldwide Dental Hospital: (+84) 922.253.888
Begin your implant journey with world-class care and long-lasting results.

